TriLink社 CleanCap® M6 ModTail mRNA
mRNAのpoly(A)tail 修飾は次世代のRNA医薬に貢献するため、分子の安定性や機能性の利点を持ついくつかの重要な機能を提供します。
TriLink社独自のModTail poly(A)tail 修飾は全体的なタンパク質発現とその持続性を向上させます。
ModTail テクノロジーを簡単に体験していただけるように コントロールとして使用可能なEGFP、FLuc、および Cas9 のカタログ製品を用意しています。またModTail mRNAの受託合成サービスも提供しています。
ModTail テクノロジーは、様々なキャップ、塩基修飾、構造サイズ、poly(A)tail の長さに適しています。
特長
ModTail mRNAのカタログ製品の特長は、以下の通りです。
成熟したmRNAの構造
効率的な転写のためのCleanCap® 試薬、5’ と3’ のUTR、コード配列、120-ntのPoly(A)tailを含む
CleanCap® M6 アナログ
酵素的キャッピングや既存のCleanCap® AG アナログと比較して、30%以上高いタンパク質発現
Poly(A)tail 修飾
TriLink社のModTail テクノロジーを用いたタンパク質発現の増加と持続性
N1-メチルシュードウリジンによる置換
ModTailテクノロジーによりタンパク質発現の向上をしつつ、炎症反応を抑制

データ
ModTail mRNAはHEK293T細胞においてタンパク質発現と持続性を向上させる
HEK293T 細胞において、TriLink社のModTail Poly(A) 修飾/未修飾のeGFPをエンコードしCleanCap® M6でキャッピングされたmRNAをトランスフェクションした。 CleanCap® M6でキャッピングしたeGFPタンパク質の蛍光はIncucyteで測定した。

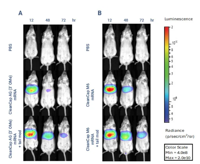
ModTail mRNAが投与されたマウスはタンパク質発現の持続性が向上した
PBS (最上段)またはFluc mRNA:LNPが投与されたマウスを12,48,72時間後に全体の発光をイメージングした。CleanCap® AG 3’ OMe(図A)とCleanCap® M6(図B)でキャッピングされたFluc ModTail mRNA(最下段)では、より長い時間高い発現シグナルが見られた。

ModTail キット
TriLink社のmRNA ModTail キットには、精製mRNAにpoly(A)tail 修飾を導入するための独自の試薬および酵素混合物が含まれています。
本キットで、2.5 mgの精製mRNAをModTail mRNAに調製することができます。
キット内容
- ModTail Enzyme Mix
- ModTail Reaction Mix
製品一覧
- 項目をすべて開く
- 項目をすべて閉じる
CleanCap® M6 ModTail mRNA
ModTail キット
- 掲載内容は本記事掲載時点の情報です。仕様変更などにより製品内容と実際のイメージが異なる場合があります。
- 掲載されている製品について
- 【試薬】
- 試験・研究の目的のみに使用されるものであり、「医薬品」、「食品」、「家庭用品」などとしては使用できません。
- 試験研究用以外にご使用された場合、いかなる保証も致しかねます。試験研究用以外の用途や原料にご使用希望の場合、弊社営業部門にお問合せください。
- 【医薬品原料】
- 製造専用医薬品及び医薬品添加物などを医薬品等の製造原料として製造業者向けに販売しています。製造専用医薬品(製品名に製造専用の表示があるもの)のご購入には、確認書が必要です。
- 表示している希望納入価格は「本体価格のみ」で消費税等は含まれておりません。
- 表示している希望納入価格は本記事掲載時点の価格です。