F-PDO®: Long-Term Patient-Derived Organoid Models & Assay Services
Accelerate your oncology pipeline with Fukushima PDO - a premier biobank of high-fidelity 3D tumor models, brought to you in collaboration with the Fukushima Translational Research Project. Established from primary clinical tissues across diverse indications including lung, ovary, and uterus, our F-PDOs® are engineered for exceptional longevity, maintaining stable growth for over six months in culture. Every line is rigorously validated through comprehensive histological, whole-exome, and transcriptomic analysis to ensure it precisely recapitulates the genomic profile and HLA-typing of the original patient tumor. With over 62 characterized lines (F-PDO® list) available for immediate use, we provide the reliable biological foundation your drug discovery program demands.
Standard 2D cell lines often fail to predict clinical outcomes. F-PDOs® bridge this gap by preserving the complex architecture and drug-resistant phenotypes of the source tumor. Our validation data demonstrates that F-PDOs® exhibit significantly higher resistance to standard-of-care anticancer agents compared to conventional lines, offering a more predictive and clinically relevant model for efficacy testing. Whether you are identifying novel biomarkers or evaluating next-generation therapeutics in vitro or via mouse implantation, F-PDOs® provide the physiological accuracy required to reduce late-stage attrition and bring better therapies to market faster.
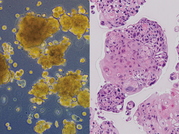
Lung F-PDO® (squamous cell carcinoma)

Lung F-PDO® (papillary adenocarcinoma)

F-PDO® summary
Technical Challenges
Overcoming the Complexities of F-PDO® Research with Our Assay Services
F-PDOs® offer superior clinical relevance but present significant technical barriers for standard laboratories, due to:
- Slow Growth Rates: F-PDOs® require extended timelines to reach required cell volumes; we provide the scale-up expertise.
- Non-uniformity: Variability in size makes consistent seeding difficult; we utilize standardized protocols for plate-to-plate consistency.
- Cluster Morphology: Large clusters make manual cell counting impossible; we employ specialized dissociation and imaging technologies for accurate quantification.
- Complex Maintenance: Success requires highly specific niche-factors and culture experience; our team ensures model stability through every passage.
Let our scientists handle the complexity for you. Fujifilm Wako offers end-to-end Custom Assay Services designed to overcome these barriers. Utilizing our proprietary high-throughput systems (96- and 384-well formats), we provide standardized, reproducible data for:
- High-Throughput Drug Sensitivity Screening (DSS)
- Combination Therapy Evaluations
- Long-term Growth & Morphology Studies
- Custom Model Expansion & Maintenance
By partnering with our service team, you eliminate the steep learning curve and equipment overhead of organoid culture, receiving publication-ready data and actionable insights while you focus on your next breakthrough.
Assay systems using F-PDO®
| Assay | Deteciton | Regent | Equipment |
|---|---|---|---|
| Cell growth inhibition | ATP | CellTitier Glo (Promega) | Enspire (PerkinElmer) |
| Impedance | - | xCelligence (ACEA) | |
| Cell area | - | IncuCyte (Essen) | |
| Dehydrogenase activity | Cell Counting Kit-8 (Dojin) | Enspire (PerkinElmer) | |
| Dead cell detection | Calcein | Calcein AM (Molecular Probes) | Enspire (PerkinElmer) |
| Cyanine | IncuCyte Cytotox Green (Essen) | IncuCyte (Essen) | |
| Lactate dehydrogenase activity | Cytotoxicity Detection Kit (Roche) | Enspire (PerkinElmer) | |
| Apoptosis activity | Caspase-3/7 activity | ApoTox-Glo (Promega) | Enspire (PerkinElmer) |
| Caspase-3/7 activity | CellEvent Caspase-3/7 Green (Molecular Probes) |
IncuCyte (Essen) | |
| Annexin V/PI | Annexin V-FITC/PI (Nacalai) | FCM (SONY) | |
| Immunostaining | Fluorescent immunostaining | Antibodies against Ki67, HER2, EGFR, actin, z0-1, and etc DAPI |
Confocal microscope and NoviSight(Olympus) |
| ADDC activity | Reporter gene expression | ADCC Bioassey Effector Cell (BPS Bioscience) |
Enspire (PerkinElmer) |
Reference
- High-Throughput In Vitro Assay using Patient-Derived Tumor Organoids. Higa et al., J Vis Exp, 172, e62668 (2021)
https://www.jove.com/t/62668/high-throughput-in-vitro-assay-using-patient-derived-tumor-organoids - Construction of in vitro patient‑derived tumor models to evaluate anticancer agents and cancer immunotherapy. Takahashi et al., ONCOLOGY LETTERS, 21, 406 (2021)
https://www.spandidos-publications.com/10.3892/ol.2021.12667 - An in vitro system for evaluating molecular targeted drugs using lung patient-derived tumor organoids, Takahashi et al., Cells. 8 481 (2019).
https://www.mdpi.com/2073-4409/8/5/481 - Evaluation of anticancer agents using patient-derived tumor organoids characteristically similar to source tissues. Tamura et al., Oncology Reports ,
40: 635-646 (2018).
https://www.spandidos-publications.com/or/40/2/635
| Title | File format |
|---|---|
| Available F-PDO® list | Excel |
| F-PDO®_summary | |
| Leaflet_Long term-culturable patient-derived tumor organoid | |
| Leaflet_immuno oncology | |
| Poster_Evaluation of anticancer agents using patient derived tumor organoids | |
| Poster_Long Term culturable PDO Models F-PDO® lines | |
| Poster_Characterization of F-PDO® by 3D microscopic analysis | |
| Poster_F-PDO® drug sensitivity and PDX Models from Japanese Patients |